OCCUPATION AND HEALTH ›› 2026, Vol. 42 ›› Issue (2): 173-177.

• Treatise • Previous Articles     Next Articles

Effects of single or combined pollution of triclosan and chromium on immune system

LIU Zhao1, LIU Yanqun1,2(), HUANG Xinyi1, HUANG Meiqi1, GUO Jiacheng1, HUANG Wenwu3()   

  1. 1. Jianghan University,Wuhan,Hubei 430056,China
    2. Hubei Key Laboratory of Environmental and Health Effects of Persistent Toxic Substances,Jianghan University,Wuhan,Hubei 430056,China
    3. Hospital of Jianghan University,Wuhan,Hubei 430056,China
  • Received:2025-05-27 Revised:2025-06-20 Online:2026-01-15 Published:2026-02-06

Abstract:

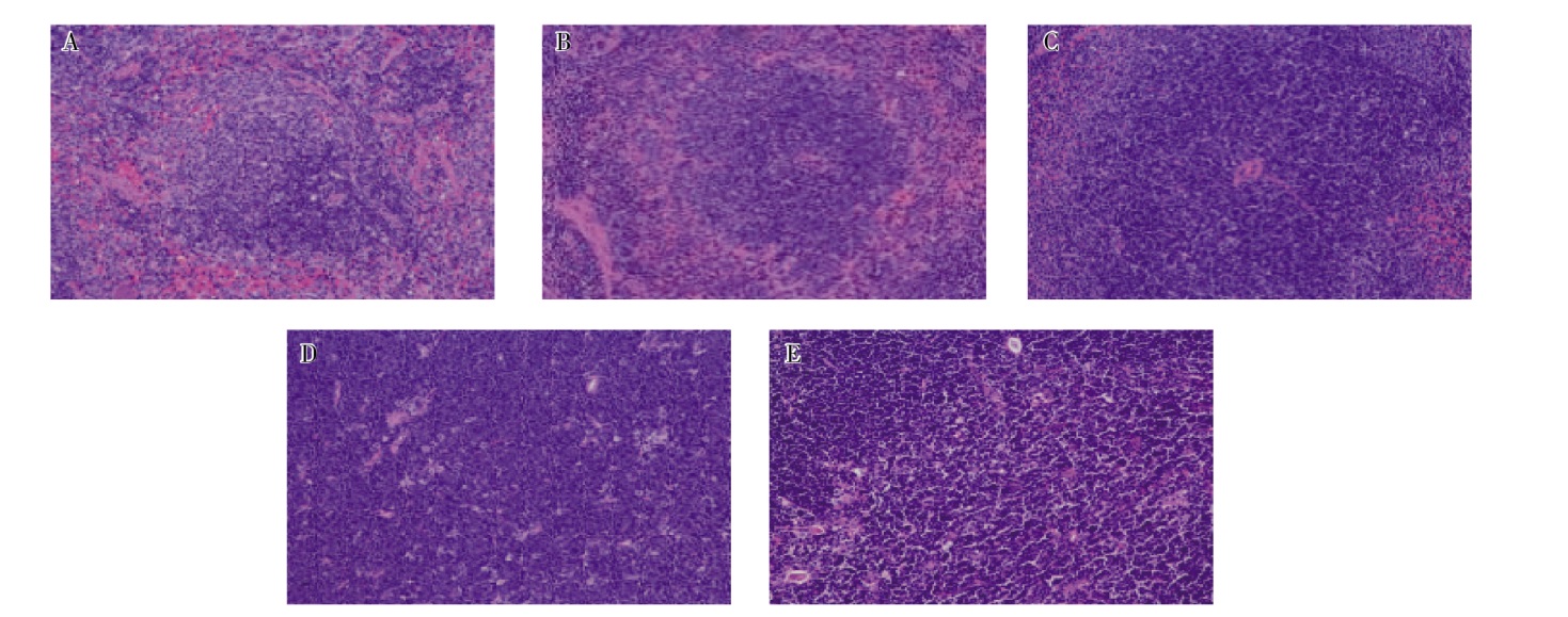
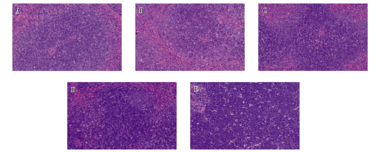
Objective To explore the effects of single and combined pollution of broad-spectrum antibiotic triclosan(TCS) and heavy metal chromium(Cr6+) on the immune function of the body. Methods The injury and inhibition of immune function and pathological changes of immune organs of KM mice under single and combined stress of TCS and Cr6+ was studied by toxicity test method. Using Cr6+ solution with a concentration of 1/4 LD50 and TCS solution with a concentration of 1/16 LD50[the solvent is dimethyl sulfoxide(DMSO)] as the model,and KM mice as the research objects,the basic situation of mouse poisoning process was researched and analyzed. The effects of toxicity tests on the immune organ coefficients,pathological changes,and serum hemolysin(HC50) levels in mice were analyzed. Results Following TCS and Cr6+ exposure,body weights of the control,TCS model group,Cr6+ model group,and combined exposure groups were measured as (32.14±3.45),(26.82±2.17),(28.41±2.34) and (22.74±2.37)g,respectively. The thymus coefficients were (5.34±0.28),(3.49±0.44),(3.67±0.62) and (2.51±0.43)mg/g,respectively. The HC50 values were 655.60±17.91,632.91±7.03,629.94±7.49 and 612.38±5.70. Compared to the control group,both the TCS model group and the Cr6+ model group showed an increase in spleen coefficient and a decrease in thymus coefficient,with statistically significant differences(both P<0.05). The HC50 values were significantly reduced,also showing statistically significant differences (both P<0.01),with immune organ damage in the mice,along with lymphocyte edema and necrosis. Compared to the TCS and Cr6+ single exposure groups,the combined TCS and Cr6+ exposure group exhibited significant reductions in body weight,thymus coefficient,and HC50 values,and the differences were statistically significant(all P<0.01),with lymphocytes displaying a larger area of degenerative necrosis. Conclusion The coercive effect of TCS and Cr6+ combined pollution on the immune function of KM mice is greater than that of the two alone,showing a more obvious synergistic effect.

Key words: Triclosan, Hexavalent chromium, Mice, Immunity

CLC Number: